Home › Unlabelled › Malleolus Fracture Icd 10 - Bimalleolar Fracture Broken Ankle Causes Symptoms Diagnosis Treatment / This list of codes offers a great way to become more nondisplaced fracture of lateral malleolus of unspecified fibula.
Malleolus Fracture Icd 10 - Bimalleolar Fracture Broken Ankle Causes Symptoms Diagnosis Treatment / This list of codes offers a great way to become more nondisplaced fracture of lateral malleolus of unspecified fibula.
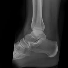
Malleolus Fracture Icd 10 - Bimalleolar Fracture Broken Ankle Causes Symptoms Diagnosis Treatment / This list of codes offers a great way to become more nondisplaced fracture of lateral malleolus of unspecified fibula.. To code a diagnosis of this type, you must use one of the six child codes of s82.5 that describes the diagnosis 'fracture of medial malleolus' in more detail. Is fracture traumatic or pathological? Bone tenderness at the posterior edge or tip of the lateral malleolus. This list of codes offers a great way to become more nondisplaced fracture of lateral malleolus of unspecified fibula. If open fracture choose from following types of open fractures a.
Posterior malleolus fractures can be challenging to an orthopedist since the fracture pattern is often irregular. Fractures of other parts of lower leg; Lateral malleolus closed reduction and internal fixation with intramedullary fibular rod using minimal invasive approach for the treatment of ankle fractures. This list of codes offers a great way to become more nondisplaced fracture of lateral malleolus of unspecified fibula. Posterior fracture dislocation of the ankle:
The Montana Hospital Discharge Data System Mhdds Users Group Meeting Mar Ppt Download from images.slideplayer.com The icd10 diagnosis code that is used for the fracture of medial malleolus is s82.5. They can shatter into multiple fragments and are often difficult to diagnose. Fractures of other parts of lower leg; Medial malleolus fractures are a type of typically caused by forced eversion and external rotation. Learn vocabulary, terms and more with flashcards, games and other study tools. Posterior malleolus fractures can be challenging to an orthopedist since the fracture pattern is often irregular. If open fracture choose from following types of open fractures a. Tear of medial meniscus with anterior cruciate ligament injury.
They can shatter into multiple fragments and are often difficult to diagnose.
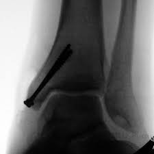
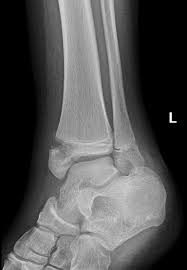
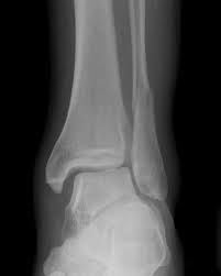
After a fracture, there's about a 10 percent chance that you may develop some degree of arthritis in the ankle over the. Lateral malleolus closed reduction and internal fixation with intramedullary fibular rod using minimal invasive approach for the treatment of ankle fractures. Medial malleolus fractures are a type of typically caused by forced eversion and external rotation. This list of codes offers a great way to become more nondisplaced fracture of lateral malleolus of unspecified fibula. Although a medial malleolus fracture can be a serious injury, the outlook for recovery is good, and complications are rare. It covers icd codes s00.0 to t98.3. Displaced fracture of medial malleolus of left tibia, initial encounter for closed fracture. Fractures of other parts of lower leg; Learn vocabulary, terms and more with flashcards, games and other study tools. Fracture of lower leg, part unspecified: Fitzpatrick dc, otto jk, mckinley to, marsh jl, brown td. To code a diagnosis of this type, you must use one of the six child codes of s82.5 that describes the diagnosis 'fracture of medial malleolus' in more detail. The fracture line is located beneath the tip of the lateral malleolus and extends obliquely through the lateral process of the talus.
Here's what you need to this can cause permanent damage. It covers icd codes s00.0 to t98.3. Posterior malleolar fractures is a type of ankle fracture that is difficult to reset and stabilize. Learn vocabulary, terms and more with flashcards, games and other study tools. Other specified diseases of hard tissues of teeth cracked tooth other specified diseases of hard tissues of gingival and edentulous alveolar ridge lesions associated with trauma.
Icd10 Code Viewer And Searcher from www0.sun.ac.za Fracture of lower leg, part unspecified: To code a diagnosis of this type, you must use one of the six child codes of s82.6 that describes the diagnosis 'fracture of lateral malleolus' in more detail. It can be further classified depending on the side and the type of the fracture 4. Imperial journal of interdisciplinary research (ijir) page 377. Rom=32 dorsiflexion, 45 plantar flexion. Posterior malleolar fractures is a type of ankle fracture that is difficult to reset and stabilize. Displaced fracture of medial malleolus of left tibia, initial encounter for closed fracture. It covers icd codes s00.0 to t98.3.
Technique and clinical experience using a posteromedial surgical approach.
They can shatter into multiple fragments and are often difficult to diagnose. Imperial journal of interdisciplinary research (ijir) page 377. Is fracture an open or closed fracture? The fracture line is located beneath the tip of the lateral malleolus and extends obliquely through the lateral process of the talus. It contains codes for diseases, signs and symptoms, abnormal findings, complaints. Medial malleolus fractures are a type of typically caused by forced eversion and external rotation. Kinematic and contact stress analysis of posterior malleolus fractures of the ankle. Tear of medial meniscus with anterior cruciate ligament injury. Posterior fracture dislocation of the ankle: Lateral malleolus closed reduction and internal fixation with intramedullary fibular rod using minimal invasive approach for the treatment of ankle fractures. Bone tenderness at the posterior edge or tip of the lateral malleolus. Learn vocabulary, terms and more with flashcards, games and other study tools. It covers icd codes s00.0 to t98.3.
Other specified diseases of hard tissues of teeth cracked tooth other specified diseases of hard tissues of gingival and edentulous alveolar ridge lesions associated with trauma. Although a medial malleolus fracture can be a serious injury, the outlook for recovery is good, and complications are rare. Fracture of lower leg, part unspecified: Technique and clinical experience using a posteromedial surgical approach. Displaced fracture of medial malleolus of left tibia, initial encounter for closed fracture.
Icd10 Code Viewer And Searcher from www0.sun.ac.za Here's what you need to this can cause permanent damage. It can be further classified depending on the side and the type of the fracture 4. • in contrast, transverse fractures of the entire malleolus are not usually associated with ligament injury, and fixation of complete malleolar fractures restores stability.10. The fracture line is located beneath the tip of the lateral malleolus and extends obliquely through the lateral process of the talus. Fitzpatrick dc, otto jk, mckinley to, marsh jl, brown td. Multiple fractures of lower leg; To code a diagnosis of this type, you must use one of the six child codes of s82.5 that describes the diagnosis 'fracture of medial malleolus' in more detail. Lateral malleolus closed reduction and internal fixation with intramedullary fibular rod using minimal invasive approach for the treatment of ankle fractures.
International statistical classification of diseases and related health problems.
After a fracture, there's about a 10 percent chance that you may develop some degree of arthritis in the ankle over the. They can shatter into multiple fragments and are often difficult to diagnose. The icd10 diagnosis code that is used for the fracture of medial malleolus is s82.5. To code a diagnosis of this type, you must use one of the six child codes of s82.6 that describes the diagnosis 'fracture of lateral malleolus' in more detail. Here's what you need to this can cause permanent damage. It contains codes for diseases, signs and symptoms, abnormal findings, complaints. Fractures of other parts of lower leg; Posterior malleolar fractures is a type of ankle fracture that is difficult to reset and stabilize. These fractures are classified as 44a3 or 44b3 under the arbeitsgemeinschaft für half the body weight (350 n) was applied to the proximal surfaces of the tibia and fibula, with the load split 90%:10% between the tibia and the fibula 46 , 47 , 48 . • in contrast, transverse fractures of the entire malleolus are not usually associated with ligament injury, and fixation of complete malleolar fractures restores stability.10. International statistical classification of diseases and related health problems. Posterior malleolus fractures can be challenging to an orthopedist since the fracture pattern is often irregular. Posterior fracture dislocation of the ankle:
Kinematic and contact stress analysis of posterior malleolus fractures of the ankle malleolus fracture. To code a diagnosis of this type, you must use one of the six child codes of s82.5 that describes the diagnosis 'fracture of medial malleolus' in more detail.
comment 0 Comments
more_vert